Các bác sĩ tại Bệnh viện Ung Bướu TP. Cần Thơ vừa tiếp nhận và điều trị thành công cho một bệnh nhân nữ 48 tuổi với nhiều khối u tái phát trong ổ bụng. Đây là một trường hợp ung thư tái phát phức tạp, nhưng nhờ sự phối hợp đa mô thức giữa các chuyên khoa và kinh nghiệm chuyên môn, bệnh viện đã mang lại kết quả điều trị khả quan cho người bệnh.
Năm 2021, bệnh nhân T.H.D được chẩn đoán u thân tử cung và phẫu thuật cắt tử cung toàn phần tại một bệnh viện tư nhân. Kết quả giải phẫu bệnh sau mổ là sarcôm dạng biểu mô, là một loại ung thư ở tử cung. Bệnh nhân được khuyến cáo tiếp tục điều trị và tái khám tại Bệnh viện Ung bướu TP. Cần Thơ, nhưng vì chủ quan nghĩ rằng “mổ xong là đã hết bệnh”, nên đã không tuân thủ điều trị bổ sung và bỏ qua các lần tái khám định kỳ.
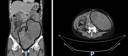
Đến năm 2024, bệnh nhân nhận thấy bụng to dần nên nhập viện tại Bệnh viện Ung Bướu TP. Cần Thơ. Kết quả CT scan ghi nhận: khối tổn thương đậm độ mô mềm kích thước khoảng 150 x 102 mm và 81 x 52 mm, kèm dịch ổ bụng và thâm nhiễm mỡ mạc treo, gợi ý nhiều đến u ác tính buồng trứng di căn ổ bụng.

Hình 1. Hình ảnh khối u trên CTscan bụng theo các mặt cắt đứng dọc và ngang ghi nhận khối u ổ bụng rất to, giới hạn không rõ với các cơ quan khác
Trong lần phẫu thuật đầu tiên, ekip thuộc khoa Ngoại Nhũ học – Tiêu hóa ghi nhận khối u ổ bụng kích thước lớn hơn 20cm, dính chặt thành bụng và nhiều cơ quan lân cận, nghĩ nhiều đến u buồng trứng ác tính. Do không thể cắt bỏ triệt để, các bác sĩ chỉ tiến hành sinh thiết. Kết quả giải phẫu bệnh là u tế bào hạt người lớn. Tuy nhiên, nhận thấy kết quả này chưa thật sự phù hợp với diễn tiến bệnh, các bác sĩ đã chỉ định nhuộm hóa mô miễn dịch và đồng thời hội chẩn lại tiêu bản mô (lame) từ bệnh viện phẫu thuật trước đây. Kết quả cuối cùng xác định: u tế bào hạt người lớn xâm lấn kênh tử cung, tái phát ổ bụng. Đây là một dạng ung thư buồng trứng hiếm gặp, điều trị tiêu chuẩn đòi hỏi phối hợp đa mô thức bao gồm phẫu thuật và hóa trị.
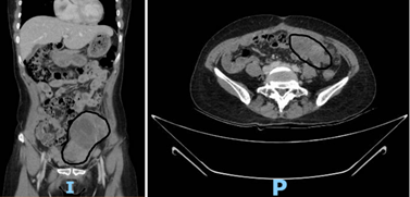
Sau khi có chẩn đoán xác định, bệnh nhân được chỉ định hóa trị 6 chu kỳ. Nhờ đáp ứng tốt, khối u thu nhỏ đáng kể. Đến lần phẫu thuật thứ hai (second look surgery), ekip ghi nhận: nhiều khối u thành bụng, u vùng chậu và u mạc treo đại tràng (T) kích thước từ 4–10cm, cùng khối u buồng trứng (P) 5cm. Các khối u chắc, giới hạn rõ, có thể cắt bỏ được. Các bác sĩ đã tiến hành cắt bỏ khối u và các tổn thương liên quan, đạt được tiêu chuẩn triệt để về ung thư học.

Hình 2. Hình ảnh vị trí to nhất của khối u trên CTscan bụng theo các mặt cắt đứng dọc và ngang sau khi hóa trị

Hình 3. Hình ảnh những khối u sau mổ
Bệnh nhân hồi phục nhanh, ra viện sau 6 ngày, không biến chứng. Ca bệnh cho thấy hiệu quả của điều trị đa mô thức và sự phối hợp chặt chẽ giữa các chuyên khoa. Nhờ kinh nghiệm và sự nhạy bén của đội ngũ bác sĩ, Bệnh viện Ung Bướu TP. Cần Thơ khẳng định lợi thế trong chẩn đoán chính xác và điều trị toàn diện, mang lại kết quả tối ưu cho người bệnh.
Từ trường hợp này, BS Trầm Quang Huy – Phó Trưởng khoa Ngoại Nhũ học – Tiêu hóa, Bệnh viện Ung Bướu TP. Cần Thơ – nhấn mạnh: Việc chủ quan bỏ điều trị sau mổ sẽ làm tăng nguy cơ tái phát, khiến bệnh diễn tiến phức tạp, khó điều trị và tốn kém hơn rất nhiều. Do đó, khi có khối bướu, người bệnh nên đến khám tại các bệnh viện chuyên khoa ung bướu, đồng thời cần tái khám định kỳ để phát hiện sớm nguy cơ tái phát, từ đó có cơ hội điều trị hiệu quả và mang lại kết quả tốt hơn.
Tác giả: Lê Minh Hằng
Ý kiến bạn đọc
Những tin mới hơn
Những tin cũ hơn